Applied Evidence
Pulmonary nodule on x-ray: An algorithmic approach
The best way to manage a pulmonary nodule depends on the patient's history, risk factors for cancer, and nodule characteristics. This review can...
John Hickner, MD, MSc
Editor-in-Chief

When I went to medical school in the early 1970s, one of my professors said, “At least half of what I teach you will not be correct in the future, but I don’t know which half.” I think that was an underestimate; perhaps she should have said two-thirds. I continue to be amazed at the widespread changes in what we consider to be the correct approach to diagnosis and treatment of even common ailments. Several articles in this issue discuss new “truths,” or at least truths as we know them today.
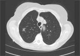
For years, I was taught there was no effective way to detect early-stage lung cancer. However, the National Lung Screening Trial provides evidence that routine low-dose computed tomography (CT) screening can be effective, provided the guidelines are followed strictly and the operative morbidity and mortality is sufficiently low.1 This is certainly a practice-changer, but balancing risks and benefits of CT screening also depends on judicious management of the “incidentalomas” that are discovered, as described in the article by Yunus and Mazzone. (See “Pulmonary nodule on x-ray: An alogrithmic approach”.)
“At least half of what I teach you will not be correct in the future,” a professor of mine once said, “but I don’t know which half.”
In this issue, Hawes et al discussed which oral agents to consider after metformin for patients with type 2 diabetes. (See page “What next when metformin isn't enough for type 2 diabetes?”) I have been skeptical about the value of oral antidiabetic medications other than metformin for preventing cardiovascular complications of diabetes. A recently published large randomized controlled trial (RCT) of empagliflozin (a sodium-glucose cotransporter-2 [SGLT2] inhibitor), however, showed significantly lower rates of death from cardiovascular causes (3.7% vs 5.9% in the placebo group), hospitalization for heart failure (2.7% vs 4.1%, respectively), and death from any cause (5.7% vs 8.3%, respectively).2 Perhaps an SGLT2 inhibitor should be the preferred second choice?
Finally, I admit to hopping on the bandwagon for using tamsulosin or nifedipine to avoid surgical interventions for ureteral calculi, based on data from small RCTs. However, this issue’s PURL discusses a recently published large RCT3 that shows that for small stones (≤10 mm), these medications are no more effective than placebo. (See page “Kidney stones? It's time to rethink those meds”.)
I wonder which “truths” will be proven false this year?
The best way to manage a pulmonary nodule depends on the patient's history, risk factors for cancer, and nodule characteristics. This review can...
This patient-centered case vignette offers insight into how best to choose among additional oral agents, basal insulin, or the newer GLP-1...
Despite being recommended for ureteral stone expulsion, tamsulosin or nifedipine are no more effective than placebo.