Radiology Review

The Man With No Medical History

Author and Disclosure Information

The Man With No Medical History image

Following a motor vehicle col­lision, a 60-year-old man is brought to the emergency department via ambulance. He was an unrestrain­ed front-seat passenger in a vehicle that lost control on the roadway and went into a ditch. The patient complains of headache, chest wall pain, and left arm pain. He does not believe he lost consciousness.

He denies any medical history and adds that he does not seek regular medical treatment. He admits to tobacco use and frequent alcohol use.

On physical exam, you note an elderly-appearing male in no obvious distress with a Glasgow Coma Scale score of 15. His vital signs are all within normal limits. Other than slight swelling on the left side of his head, tenderness in the anterior chest wall, and pain in his left humerus, his exam is normal.

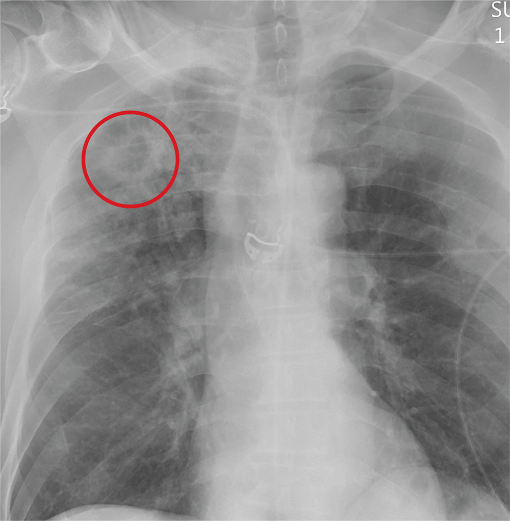
You order trauma lab tests and appropriate radiographic studies; a portable chest radiograph is completed (shown). What is your impression?


 

The Man With No Medical History image

ANSWER

The radiograph demonstrates no acute fractures or pneumothorax. Of note is a right upper lobe infiltrate, which is a rounded cavitary lesion measuring approximately 4 cm. The differential includes pulmonary malignancy, active or previous pulmonary infection (eg, tuberculosis), or pneumatocele. Further evaluation with CT and a pulmonary consultation was coordinated.

Related Articles

  • Radiology Review

    Woman’s Weakness is Worsening

    A 65-year-old woman has been experiencing left-side weakness for mroe than two months, and she reports that it's worsening with time. Find out...

  • Radiology Review

    The Signs That Can’t Be Ignored

    Black, tarry stools; episodic hemoptysis ... what do these symptoms signify about this 60-year-old man's health and well-being? A radiograph of...

  • Radiology Review

    When the Diagnosis Hurts

    This morning, this 60-year-old man had a lung biopsy. This afternoon, he started experiencing chest pain. What does a radiograph of the area...