Radiology Review

Revenge of the Deer Stand

Author and Disclosure Information

Fracture, pain, orthopedics image

What is your impression?


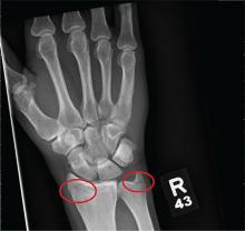
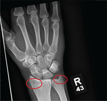
As you begin your shift, knowing deer season has started in your area, you wonder how long it will be before you see your first deer stand casualty of the day. With your first patient, you wonder no more: A 30-year-old man presents for evaluation of right wrist pain after falling from his deer stand. He says one of the straps holding the stand broke, causing him to fall forward and land on his outstretched hands. His medical history is unremarkable. Inspection of the right wrist shows no obvious deformity. No significant swelling is present. There is decreased range of motion and localized tenderness over the radius and ulna. Good pulses and capillary refill are noted. You obtain a radiograph of the wrist. What is your impression?


 

References

ANSWER
The radiograph shows a fracture of both the distal radius and distal ulna. The patient was placed in a splint and referred to orthopedics for outpatient follow-up.

Recommended Reading

Girl, 5, With Fever and Hip Pain
Clinician Reviews
Woman Complains of Knee Pain Following Fight
Clinician Reviews
Driver Partially Ejected From Vehicle
Clinician Reviews
Case Studies in Toxicology: When Doing More for the Sake of Better Health Goes Wrong
Clinician Reviews
Fall From Trail Leaves Woman in Pain
Clinician Reviews
Elective Craniotomy Results in Respiratory Distress
Clinician Reviews
Case Studies in Toxicology: Managing Missed Methadone
Clinician Reviews
Oh, Deer! Accident Leaves Man in Pain
Clinician Reviews
What’s Wrong With This Picture?
Clinician Reviews
Case Studies in Toxicology: One Last Kick—Transverse Myelitis After an Overdose of Heroin via Insufflation
Clinician Reviews

Related Articles