What's Your Diagnosis?

Recurrent Abdominal Pain and Bowel Edema in a Middle-Aged Woman

A woman presented to the emergency department with sharp abdominal pain and no evidence of a food-borne illness. How would you treat the patient?

Author and Disclosure Information

 

References

A 34-year-old African American woman presented to the emergency department (ED) after several hours of sharp lower abdominal pain and cramping followed by nausea and vomiting. The pain initially began in the periumbilical region and migrated to the bilateral lower quadrants. The patient reported no fevers, chills, diarrhea, hematemesis, or hematochezia associated with these symptoms. She also reported no unusual food exposures or sick contacts.

The patient’s medical history was notable only for hypertension; her surgical history included 2 cesarean section births several years prior to presentation. Her father was diagnosed with stomach cancer in his 40s. The patient’s only medications were an oral contraceptive, lisinopril, and an antihistamine taken as needed for seasonal allergies. She had no history of tobacco, alcohol, or illicit drug use and no known drug allergies.

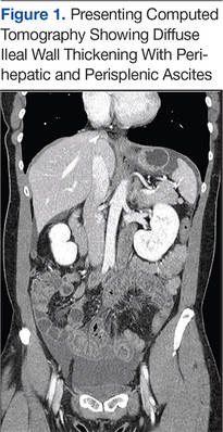
While in the ED, the patient’s physical exam revealed mild tachycardia (104 bpm on arrival, which improved with fluid resuscitation) and diffuse abdominal tenderness. Laboratory evaluation revealed a mild leukocytosis (10.7 x 103/L) but normal liver-associated enzymes, lipase, and urinalysis. A computed tomography (CT) scan of the abdomen and pelvis with oral and IV contrast revealed diffuse ileal wall thickening with significant perihepatic and perisplenic ascites with pelvic free fluid suspicious for an inflammatory vs infectious enteritis (Figure 1).

The patient was treated supportively with IV fluids, antiemetics, and pain medication. Her symptoms generally improved over several days, though she did develop loose stools that prompted infectious stool studies, which were negative for typical pathogens. Follow-up laboratory testing revealed resolution of her leukocytosis.

About 2 weeks later, the patient had another acute attack of abdominal pain, again associated with nausea and vomiting.

Similar to her prior visit, a mild leukocytosis (10.3 x 103/L) was the only laboratory abnormality. Imaging was not repeated. She was again treated supportively, and once more, her symptoms resolved spontaneously. An upper endoscopy with push endoscopy was performed and no abnormalities were identified as far as the proximal jejunum (about 130 cm from the incisors). The mucosa of the colon and distal terminal ileum were shown to be normal on colonoscopy. Random biopsies were taken throughout the gastrointestinal tract and all showed no histologic abnormalities.
A magnetic resonance enterography was performed shortly thereafter and revealed resolution of the prior bowel wall thickening (Figure 2).

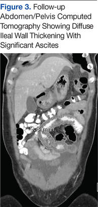
Six weeks after her initial presentation, the patient presented to the ED for the third time with the same symptoms. A CT scan again displayed diffuse ileal wall thickening with significant ascites; slightly worse than the image from initial presentation (Figure 3).

  • What is your diagnosis?
  • How would you treat this patient?

[Click through to the next page to see the answer.]

Pages

Recommended Reading

A Multidisciplinary Chronic Pain Management Clinic in an Indian Health Service Facility
Federal Practitioner
Complementary and Alternative Medicine for Chronic Musculoskeletal Pain
Federal Practitioner
Who’s in Pain in America? Pretty Much Everyone
Federal Practitioner
Opioid-Induced Androgen Deficiency in Veterans With Chronic Nonmalignant Pain
Federal Practitioner
Helping Veterans Manage Pain
Federal Practitioner
Opioid Use Among Elderly With Dementia
Federal Practitioner
Back Pain Bacterium
Federal Practitioner
Treatment Options for Acute Gout
Federal Practitioner
When Does Hip Pain Mean Osteoarthritis?
Federal Practitioner
DoD and VA Enhance Complex Care Initiatives
Federal Practitioner

Related Articles